← Home ← Back to /b/

Thread 939321792

26 posts 10 images /b/
Anonymous No.939321792 [Report] >>939321886 >>939321903 >>939321949 >>939321972 >>939322013 >>939322103 >>939322462 >>939322645 >>939326206 >>939329165 >>939329241 >>939329280 >>939329286
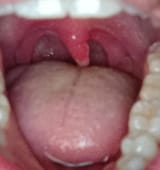
Can anyone tell me what the fuck is wrong with my uvula? It's hard to tell from the picture but in real life it looks like it's melted through to the inner part of it and it's yellow and weird. Also the bottom is swollen and yellow too, I woke up like this
Anonymous No.939321886 [Report] >>939321939
>>939321792 (OP)
I don't have any information on that but I could fap to this, but I won't if you don't want
Anonymous No.939321903 [Report] >>939321939
>>939321792 (OP)
Brush your tongue holy shit thats nasty
Anonymous No.939321939 [Report] >>939322092
>>939321886
I don't mind, thanks anyway. Hopefully someone else knows.

Oh I took some pills before I went to sleep I'm thinking they might have dissolved in my throat and fucked it up, is that possible?

>>939321903
I brush twice a day including my tongue, use two types of mouth wash every time, and floss daily. My tongue is fresh
Anonymous No.939321949 [Report] >>939321964 >>939322096
>>939321792 (OP)
It is hungry for poopoo
Anonymous No.939321964 [Report]
>>939321949
No
Anonymous No.939321972 [Report] >>939322096
>>939321792 (OP)
Call a plumber
Anonymous No.939322013 [Report] >>939322061 >>939322085
>>939321792 (OP)
Looks like syphilis. Go see a doctor.
Anonymous No.939322061 [Report] >>939322096
>>939322013
It's sixxilis.
Anonymous No.939322085 [Report]
>>939322013
What if I haven't had sex in like 4 years? I did get misdiagnosed with syphilis like 15 years ago, maybe I've had it this whole time? Also I saw a doctor, I've had a swollen throat for a few days but just looked at it for the first time. They just said it wasn't covid or strep, they didn't say it look like a fuckin maggot attached to my uvula and that it looked dissolved
Anonymous No.939322092 [Report] >>939322220
>>939321939
Thank you! I'm imagining the wet slipperyness, the feeling of the throat hole, the sensation as it contracts from gagging
Anonymous No.939322096 [Report]
>>939321949
>>939321972
>>939322061
Andy you're the worst fuckin meme on /b/
Anonymous No.939322103 [Report]
>>939321792 (OP)
Thrush
Anonymous No.939322220 [Report] >>939322312
>>939322092
Well even if I die from throat syphilis, or never figure out what else this could be, at least I can die knowing this guy jerked off to my throat pic
Anonymous No.939322312 [Report]
>>939322220
Can I show you?
Anonymous No.939322462 [Report]
>>939321792 (OP)
Throat a hot steamy log of shit bro.
Anonymous No.939322645 [Report] >>939322669
>>939321792 (OP)
Gargle and swish ever clear to kill all the bacteria
Anonymous No.939322669 [Report] >>939324077
>>939322645
Everclear is illegal here, fuck I'm gonna have to go out of state to fix this?
Anonymous No.939324077 [Report] >>939324200
>>939322669
I guess vodka would be fine but you have to gargle it for twice as long
Anonymous No.939324200 [Report] >>939329249
>>939324077
Ok so to solve my decaying uvula, yall think I need to gargle shit, cum, and vodka. Does it matter which order I do it in?
Anonymous No.939326206 [Report]
>>939321792 (OP)
fuck!
Anonymous No.939329165 [Report]
>>939321792 (OP)
don't know how to tell you this, but you need brain surgery. the good kind. the one that will make you not care about your ululu. or anything else. I fucked your mom.
Anonymous No.939329241 [Report]
>>939321792 (OP)
Snip it off
Anonymous No.939329249 [Report]
>>939324200
You can avoid the shit, that is just the local attentionposter which you need to pretend doesn't exist.
Anonymous No.939329280 [Report]
>>939321792 (OP)
Burn coal, pay the toll.
Anonymous No.939329286 [Report]
>>939321792 (OP)
canceraids