← Home ← Back to /pol/

Thread 515387120

341 posts 128 images 185 unique posters /pol/
Anonymous (ID: pyMtYVg/) Canada No.515387120 >>515387328 >>515387420 >>515387454 >>515387522 >>515387769 >>515388238 >>515389910 >>515391712 >>515393386 >>515394323 >>515395054 >>515396482 >>515397370 >>515398046 >>515398643 >>515398890 >>515399163 >>515400211 >>515403429 >>515403835 >>515404018 >>515404093 >>515404514 >>515405511 >>515406551 >>515406674 >>515407479 >>515408660 >>515409025 >>515409134 >>515410012 >>515410455 >>515410520 >>515412009
ITT: we analyze the shot
what we know so far:
>the bullet wasn't shot from a roof/high area
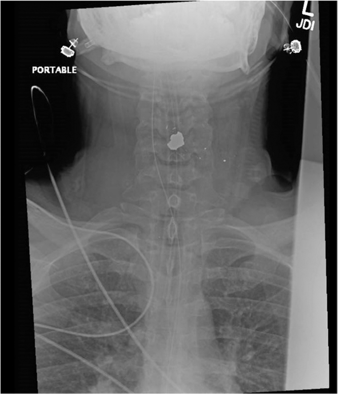
clearly the wound projectile and the bullet shown in picrel that it was either at the same level as the target, or even below
Anonymous (ID: pyMtYVg/) Canada No.515387328 >>515387556 >>515393386 >>515394183 >>515395233 >>515397273 >>515397672 >>515398032 >>515398073 >>515399122 >>515399651 >>515401584 >>515402184 >>515402382 >>515404362 >>515404488 >>515404540 >>515405102 >>515405178 >>515405865 >>515406000 >>515406322 >>515406516 >>515406557 >>515407194 >>515409952 >>515410372 >>515410733 >>515412573
>>515387120 (OP)
vid
Anonymous (ID: WnJrmAXh) United States No.515387420 >>515387838 >>515405040
>>515387120 (OP)
this was a /g/ level ai slop job
Anonymous (ID: pvwhiORI) Australia No.515387454
>>515387120 (OP)
Al Jazeera did it
Details to follow
Anonymous (ID: +fAZeTmc) United States No.515387495 >>515411795
it left a quarter size entry wound it has enough power to flip up
Anonymous (ID: bvWmmc8h) United States No.515387522 >>515400671
>>515387120 (OP)
I’ve seen sand niggers shot center mass and the bullet came out their leg.

Sometimes they tumble on impact.
Anonymous (ID: e1x8XypO) United States No.515387556
>>515387328
And yet no one behind him got hit with anything
Anonymous (ID: SAyuae6V) Italy No.515387769 >>515387988 >>515391716 >>515392728 >>515393905 >>515396755 >>515403204 >>515410198
>>515387120 (OP)
The sound of the shot and the hit happened at the same time. How could this be if the shooter was 200 yards away? They shoud have been separated by at least half a second
Anonymous (ID: pyMtYVg/) Canada No.515387838 >>515388369
>>515387420
no the shot is real, but it's mossad slop for sure
Anonymous (ID: uRGj2BFm) United Kingdom No.515387849 >>515388019
>Same set up as when they clipped Trump's ear.
EU did it.
Anonymous (ID: bvWmmc8h) United States No.515387988
>>515387769
You’re hearing the report bounce
Anonymous (ID: pyMtYVg/) Canada No.515388019 >>515388594
>>515387849
>EU
*ukr or ex-ukr fighters
Anonymous (ID: wwCE6MNs) United States No.515388238 >>515388647 >>515405736
>>515387120 (OP)
https://www.youtube.com/watch?v=0kbkysPTnHc
Hate to say it, there is no conspiracy theory on this one. Spend 5 minutes on Facebook, Twitter, Reddit, and you'll run into groups of radicalized moderates who think political violence is ok. This is the symptom of a much larger issue. These extremists exist among us, and oftentimes the FBI never does anything until it's too late
Anonymous (ID: d8viBiDC) United States No.515388369
>>515387838
perchance
Anonymous (ID: uRGj2BFm) United Kingdom No.515388594 >>515390728
>>515388019
The SBU is directly linked to both Mossad HQ and Eurocorps. More so the latter.
Anonymous (ID: d8viBiDC) United States No.515388647
>>515388238
>FBI never does anything useful to tax paying americans
fixed that for you
Anonymous (ID: BsS2pIST) United States No.515389910 >>515392352 >>515395828 >>515397804 >>515400298 >>515400950 >>515405390 >>515406513 >>515412573
>>515387120 (OP)
Top 1% spatial I.Q. here. I know you faggots think the bullet came from above, but you're fucking wrong.

The bullet is coming from below, possibly very close nearby. You can see where Charlie's 5'clock shadow starts and compare it to the where the bullet hits and where his shirt is sitting. The bullet (I believe) comes from below, hits Charlie through the collar of his shirt causing it to jump up and through his neck, finally exiting in an upward fashion from which it was shot.
Anonymous (ID: pyMtYVg/) Canada No.515390728 >>515392884 >>515397994
>>515388594
Kirk before on Ukraine:
>β€œWhy are we giving weapons and money to a country that few of you can find on a map?”
>β€œThe eastern part of Ukraine is historically Russian territory.”
>β€œZelensky is an illegally elected president.”
>β€œOur southern border is more important than Ukraine’s.”
Anonymous (ID: UtA9d7OX) Poland No.515391712
>>515387120 (OP)
>Golem Get Ye Gone
Anonymous (ID: afJl3TbA) Canada No.515391716 >>515396755
>>515387769
Sound travels slower than a bullet, so it looks like the got hit at exactly the same time (or even slightly before) you hear the sound
Anonymous (ID: ojjo+EUJ) New Zealand No.515392352
>>515389910
100%
the roof people are talking about is also to his right, so it clearly didnt come from there
Anonymous (ID: pyMtYVg/) Canada No.515392728 >>515394392 >>515396035 >>515396035 >>515396035 >>515398073 >>515399173 >>515404728 >>515405319 >>515410335
>>515387769
NEW ANGLE!!
https://files.catbox.moe/lb5frj.mp4
Whoever shot him was max 10m away only
Anonymous (ID: uRGj2BFm) United Kingdom No.515392884
>>515390728
The EU/NATO is the revival of the Western Union.
https://en.wikipedia.org/wiki/Western_Union_(alliance)
Anonymous (ID: BrBUxLzl) United States No.515393386 >>515394005
>>515387120 (OP)
>>515387328
bullets bounce after hitting things. there were people videoing a guy ontop of a roof JUST LIKE the attempt agasint trump. and it was the building the shotscanner came from. he was prone on the roof.
Anonymous (ID: UMvyuyd5) Australia No.515393470 >>515393759
can the distance be calculated from the time between sound and impact (which seems pretty much instantaneous)?
Anonymous (ID: afJl3TbA) Canada No.515393759 >>515396710 >>515400486
>>515393470
Yes, if you know the model of the gun, caliber of round fired and at least 2 videos.
Anonymous (ID: 9h2IQPvo) United States No.515393905
>>515387769
It sounds just like the Trump shooting but closer..
Anonymous (ID: pyMtYVg/) Canada No.515394005 >>515406980 >>515409171
>>515393386
>attempt agasint trump
yeah, one decoy on the roof and real actor somewhere else, the sound and hit are simultaneous, the shooter wasn't that far, he was IN THE CROWD.
We need footage of the crowd, high definition, whil the shot happened
Anonymous (ID: BrBUxLzl) United States No.515394183 >>515402702 >>515410841
>>515387328
shot came from upper imo. fragments in this video 2 not just one. impacted a bone likely and fragmented so probably not a 308, maybe a 223/556
Anonymous (ID: f1NYIoXB) United States No.515394323
>>515387120 (OP)
It was from below. I've commented that a few times but everyone here is a faggot with zero knowledge of ballistics, let alone firearms.
Anonymous (ID: pyMtYVg/) Canada No.515394392 >>515399831 >>515405597 >>515406259
>>515392728
we need this guy recording, it will show the shooter
Anonymous (ID: Koo53wIB) United States No.515394836 >>515395836 >>515397279 >>515399102 >>515405062 >>515405075
Anonymous (ID: KsfFv1fN) United States No.515395054
>>515387120 (OP)
Oh wow I do see the bullet now interesting
Anonymous (ID: KsfFv1fN) United States No.515395233 >>515395374 >>515398480 >>515400437 >>515402440 >>515404086 >>515405530 >>515406593 >>515406826 >>515408809 >>515409973 >>515410207 >>515410417 >>515411956
>>515387328
Anonymous (ID: KsfFv1fN) United States No.515395374 >>515398454 >>515399441 >>515405849 >>515407194 >>515408195 >>515410809 >>515411361
>>515395233
Another angle
Anonymous (ID: eJ7LUEPr) United Kingdom No.515395828 >>515403036
>>515389910
it looks like it comes from under the desk but it cant it has to be a trick of the light
Anonymous (ID: afJl3TbA) Canada No.515395836 >>515398215
>>515394836
Retard argument. It would be ironic if he died from crossfire or an untargeted attack, but someone actually targeting him doesn't prove shit.
If a guy claims it's good to be healthy then someone injects him with AIDS, it doesn't prove the attacker's point
Anonymous (ID: JZdCU48d) United States No.515396035 >>515397188 >>515398101 >>515399183 >>515410635
>>515392728
>>515392728
>>515392728
Definitely sounds like a rifle but maybe a small caliber, not .22 obviously but not really a 223 either, can /k/ weigh in?
Anonymous (ID: gVVwzws5) United States No.515396482 >>515396955 >>515405978 >>515406122
>>515387120 (OP)
Whoever was asking the mass shooter question was in on the assassination. This is the organizational power of the left.
Anonymous (ID: Ay8wi9+l) United States No.515396710 >>515402825
>>515393759
there are at least 3 videos now
Anonymous (ID: NrPtANZE) United States No.515396755
>>515387769
>>515391716
Both subsonic and supersonic bullets are readily available
Anonymous (ID: NrPtANZE) United States No.515396955 >>515397303
>>515396482
Interesting possibility, the timing does seem to line up with "Fire right when he responds". Is there an angle that gets the question-asker's reaction to the shot?
Anonymous (ID: AicJ+BAC) United States No.515397188
>>515396035
could be 223 subsonic ammo with suppressor
Anonymous (ID: 5xwomKy5) United States No.515397273 >>515403946
>>515387328
Uhhhh what's up with the guy in the green shirt to his right
Anonymous (ID: dkvMe1B2) United States No.515397279 >>515397591 >>515397974
>>515394836
The campus was a gun free zone. How'd that work out?
Anonymous (ID: gVVwzws5) United States No.515397303
>>515396955
There may be, but it is hard to say at this point, until all data is collated here. Dont expect the feds or police to be competent enough to solve this.
Anonymous (ID: lbRVLApc) Spain No.515397370
>>515387120 (OP)
> bullet goes up
it clearly goes down to the vest/shirt and bounces to the neck…
Anonymous (ID: QrI4MhKW) Chile No.515397552 >>515399820 >>515400213 >>515401584 >>515403842 >>515408660 >>515409507
Am I tripping or is that the bullet
Anonymous (ID: VqTxvqew) Canada No.515397568
Tan shirt guy in sunglasses did it, the clueless roastie on her phone looks right at him/in his direction before running away.
Anonymous (ID: NAk+a/eT) No.515397591 >>515406304
>>515397279
was the campus in a gun free state ?
Anonymous (ID: nTx2U1EW) Canada No.515397672 >>515399500 >>515401010 >>515404001 >>515406152 >>515406939 >>515407726 >>515408211 >>515409005 >>515410180
>>515387328
when i touch my hat then my upper lip, kill the goy
Anonymous (ID: 5xwomKy5) United States No.515397804
>>515389910
No seriously why does it look like he accepted his fate before he even got shot
Anonymous (ID: UOzZVonf) United States No.515397974 >>515398425
>>515397279
By Utah Law, campuses cannot prohibit guns from licensed carriers. If you have a CWP, you can open carry on Utah campuses, as God and Yosemite Sam intended.
Anonymous (ID: 87AFo/Ut) United States No.515397994
>>515390728
>Uhh i-it w-was uhh ANYBODY BUT ISRAEL
Sloppy job.
Anonymous (ID: lbRVLApc) Spain No.515398018 >>515401617 >>515403472
Anonymous (ID: uMAxNJv6) United States No.515398032 >>515403817 >>515404441
>>515387328
glad he had tatt'd security, looking cool right behind him, ready to tackle any threat kek
i love these larperator niggers, especially the ones who wear big frame sunglasses
thank you for telling me you don't shoot enough to know anything
Anonymous (ID: rR5hd0VP) Australia No.515398046
>>515387120 (OP)
You are genuinely so stupid do you think the bullet should come from the sky?
Anonymous (ID: aOCJgnek) Poland No.515398073
>>515392728
Smiling brown shirt, on the right, funny shoulder, itchy itchy pull and shot
Also after shenaningas of the guy behing as seen here >>515387328

World is a theater
Anonymous (ID: LSEjt4T/) United States No.515398101
>>515396035
THIS. Anyone pushing anything about a pistol from close range is wrong on the sheer loudness of the report of the shot alone. That was a busy crowded event, so the base level of noise is high and the report goes WAY louder than the ambient chatter and din.
That's a rifle round for sure. Can't call the exact caliber from sound alone, but it's at least a rifle round.
Anonymous (ID: Qb7/pwnq) Czech Republic No.515398127
is >>515396206 relevant at all? maybe its fake
Anonymous (ID: yhk8QeE7) United States No.515398215 >>515399810 >>515403504
>>515395836
Most gun deaths are targeted attacks retard
Anonymous (ID: dkvMe1B2) United States No.515398425 >>515398628
>>515397974
>licensed carriers
so when it turns out they're not a licensed carrier how's that gonna work out?
Anonymous (ID: ANlgRWqx) United States No.515398451 >>515401662
you can see the entranced wound here and two disntinct streams,100 percent shot from below
Anonymous (ID: h5u5uh6H) United States No.515398454
>>515395374
Ok, he jerks again in the original video and it looks like he takes a second shot but now you can see it’s that guy grabbing him
Anonymous (ID: 1537qTSv) United States No.515398480 >>515400437 >>515403610
>>515395233
You can see the bullet ricochet upward on the left
Anonymous (ID: UOzZVonf) United States No.515398628
>>515398425
I mean why even live in shitholes like Utah or Missouri if you aren't going to pack iron like a cowboy?
Anonymous (ID: fORBS9kJ) No.515398643 >>515399191 >>515400231 >>515405418
>>515387120 (OP)
I'm starting to think this was an accident.

https://x.com/bruce_barrett/status/1965888346804412807
Anonymous (ID: fv6taDCO) United States No.515398877 >>515400852
Doesn’t sound like a regular rifle I think it might be a muzzle loader 50 cal or an air rifle
Anonymous (ID: yxRiv9in) United States No.515398890 >>515404513
>>515387120 (OP)
It's going up because it bounced off his bulletproof vest. Which is clear in the video.
Anonymous (ID: 8dxsQPZV) United States No.515399102 >>515399761
>>515394836
He would still argue for dangerous freedom. Nobody thinks the gun did it.
Anonymous (ID: HsL8aG4M) Canada No.515399122
>>515387328
Just a bag of meat... fucking sad, and fragile life is.
Anonymous (ID: hRQMCCz0) United States No.515399141 >>515409617
Anonymous (ID: YpNrr/Ml) No.515399163
>>515387120 (OP)
Came from front row.
Anonymous (ID: P22zsGaw) Ireland No.515399173 >>515399607
>>515392728
How far away was that camera? Camera is not at point of impact. Looks to be a distance away.
Anonymous (ID: gOLOTh9R) No.515399183
>>515396035
My guess is .308 Winchester or something similar. Probably a bolt action rifle. Don't think it was a semi-auto since there weren't any follow up shots.
Anonymous (ID: pyMtYVg/) Canada No.515399191
>>515398643
If this is true, it would be hilarious if it was supposedly a set up to make him popular of some sort, only of it to backfire, literally.
Anonymous (ID: 8A1YeKOC) Canada No.515399247 >>515399388
I regret schizoposting about it not being the roof
Anonymous (ID: yxRiv9in) United States No.515399388
>>515399247
Schizo posting is just another way to say you are scrutinizing everything. Which is exactly what should be done right now.
Anonymous (ID: ojjo+EUJ) New Zealand No.515399441
>>515395374
>PROVE ME WRONG
Anonymous (ID: 8dxsQPZV) United States No.515399500 >>515399831
>>515397672
Guy in the white may have the attacker on film.
Anonymous (ID: pyMtYVg/) Canada No.515399607
>>515399173
not that far, you can see it in the video the camera man was on the fence, so like few meters away only
Anonymous (ID: Omeo4aBd) Czech Republic No.515399651 >>515402118
>>515387328
Notice the guy right under the letter "WRONG", white shirt, letters O and N above, looks like heΒ΄s signaling the shooter, barely flinches
Anonymous (ID: YXxuSoi0) United States No.515399706 >>515400437
Am I the only one not seeing an exit wound?
Anonymous (ID: UOzZVonf) United States No.515399761
>>515399102
>He would still argue for dangerous freedom.
Trump is raping the 1st Amendment, imposing government punishments for Free Speech, the ONLY thing the 1st protects.
Dubya made the 4th Amendment rights a joke post-9/11 and it's only gotten worse.
I guess the 3rd is still intact because they haven't started quartering troops in private houses?
The Second doesn't mean anything if the rest of the Constitution is burned around it, it just becomes the Freedom to be Dangerous to other citizens.
Anonymous (ID: /1TPYTVN) Iceland No.515399810
>>515398215
In the US because the stats include blacks. In white countries most gun deaths are accidents.
Anonymous (ID: 8baURBxX) United States No.515399820 >>515400326
>>515397552
it is. OP is trying to muddy the waters for some reason, they were doing it in this other thread too
it came from the right
>>515376766
>>515376605
>>515379722
Anonymous (ID: pyMtYVg/) Canada No.515399831
>>515399500
yeah, seen here as well, we need this video it shows everything >>515394392
Anonymous (ID: A53MjP+d) Germany No.515400211
>>515387120 (OP)
> at the same level as the target, or even below
No, rather the contrary. Only because of the distance the shot was fired from the angle doesn't appear steep.
Anonymous (ID: p1yKP/MF) United States No.515400213
>>515397552
Shrapnel, the plate theory is right, the bullet broke into pieces
Anonymous (ID: 4KjsUENk) United States No.515400231
>>515398643
That's actually pretty crazy
Anonymous (ID: UOzZVonf) United States No.515400292
The 5th is the next to go, it's already being eroded for "wrong people".
A sad state of affairs.
Anonymous (ID: TprTlmbJ) United States No.515400298 >>515408809
>>515389910
is he wearing a vest under the shirt? Did they shoot the vest an it deflected into his neck?
Anonymous (ID: Omeo4aBd) Czech Republic No.515400326 >>515401584
>>515399820
what if he isnt?
someone said Charlie wore a plate and that he got shot in the upper corner, bullet deflecting up into his neck
might be a stretch, guess we will have to wait and see
Anonymous (ID: q2y8ZWsx) United States No.515400377
100% was shot in the plate above left nipple and the spalling went up and ripped his throat out. Remember to give me (you)s when I'm vindicated.
Anonymous (ID: eQU2z01P) Portugal No.515400437
>>515399706
in >>515395233 you can see 2 strings of blood coming out from the back.

>>515398480
I think that's the blood shotting out randomly. Neck is very soft tissue, I don't think it would deviate the bullet. Maybe if it hit bone, then again, not sure if it did.
Anonymous (ID: sT2v7aLC) United States No.515400486
>>515393759
You also need the ammo specs, atleast roughly...different powder loads in conjuction with different projectile mass result in different velocities... as an example, hot loaded 5.56 from a 20in barrel is damn near 3x the speed of subsonic loads used with a suppressor...its not as simple as the no guns seem to think
Anonymous (ID: jwB9Jp3r) Australia No.515400671 >>515401137
>>515387522
My father (who has worked in security for almost 40 years) has told me that he had a guy who was shot in the shoulder and the bullet went straight down and basically came out the back of his butt cheek.
Anonymous (ID: sT2v7aLC) United States No.515400852
>>515398877
Waste of Digits for the dumbest nigger on this board
Anonymous (ID: FE4pLHym) Australia No.515400950 >>515405506
>>515389910
To go up it would have to be incredibly close range. The crowd's reaction was clearly to a distant sniper shot, not someone shooting from among them. Also, from the size of that hole and from close range, the whole back of his neck/head should have exploded.
Makes more sense what people are saying, it was from up high, caught the top half of his vest and then a large bullet fragment, already greatly slowed down, entered his neck causing catastrophic arterial damage.
The bullet being slowed down by already having hit a ballistics vest would explain why there wasn't more mess. It probably entered his neck/head and just spun like a top for a couple microseconds, ensuring surviving was impossible.
Anonymous (ID: 7dFbWuoo) United States No.515400998
holy fuck this is the dumbest fucking thread I've read in a very long time.
Look up hydrostatic shock. Only 1 person in the entire thread said anything related to reality and that was the bolt action 308 guess.
Anonymous (ID: Q7qya4kQ) United States No.515401010 >>515401875 >>515406605
>>515397672
That’s very suspect. Lot of faith in shooter to put yourself that close target though.

It’s clear the bullet hits a bullet proof vest first. Lot of power behind it to force his center mass back and deflect up like that.

Leaning towards a suppressed Win 300.
Anonymous (ID: LnO7JyIw) United States No.515401034 >>515403205
>>515389957
Talked about the shooters location
Anonymous (ID: Omeo4aBd) Czech Republic No.515401137 >>515405890
>>515400671
Something similar happened to Demo Ranch, a piece of shrapnel from his .50 cal hit his neck and nosedived for his lung
Anonymous (ID: LnO7JyIw) United States No.515401196 >>515408514
But whatever here's where he was. Shot was about 400 feet away
Anonymous (ID: GZJ5va9E) France No.515401214 >>515401521
what if it's the the artery exploding due to a blood clot?
safe and effective
Anonymous (ID: Omeo4aBd) Czech Republic No.515401521
>>515401214
so clogged it made a loud "crack" before exploding? yes that must be that, gunshot sounds way too crazy, nobody would do that
Anonymous (ID: 8baURBxX) United States No.515401584 >>515402094 >>515402287 >>515402976
>>515400326
does it look like he's wearing a plate?
they were also highlighting random spatter that obviously comes off well after he's hit as 'the bullet' when it is clearly not
just use your eyes. you can even see the bullet in the video if you look for it - see >>515397552
in >>515387328 (you don't even need to slow down the replay)
i don't understand the thought process of lying about things when a simple watch of a video disproves them. maybe they're counting on people just not watching it? but still, i don't understand what the point would be...
Anonymous (ID: FE4pLHym) Australia No.515401617
>>515398018
The thing you have in the red square appears in a frame that is clearly before his shirt shows signs of impact. It then remains perfectly still for several frames during Charlie's reaction to being shot. It is clearly not a bullet. Maybe a bug hovering in place. There's another object that whizzes past just after, but closer to the camera. Literally just looks like bugs.
Anonymous (ID: bcVFe2R3) United States No.515401662 >>515407779
>>515398451
Don't be fucking retarded. At that angle he would have been shot from within 30 feet.
Anonymous (ID: wTPl0t9j) Australia No.515401875 >>515402882
>>515401010
Yeah. Intel job.
Anonymous (ID: eJ7LUEPr) United Kingdom No.515402021
yfw we are all looking at the exit wound
Anonymous (ID: Omeo4aBd) Czech Republic No.515402094 >>515403808
>>515401584
calm down, im just shitposting because i am waiting for any news, not even shitposting, just talking about possibilities
indeed it looks like a clean shot through the neck, idk where the "shot in the chest" shit came from
Anonymous (ID: W0KBPzg+) United States No.515402118 >>515402799
>>515399651
That makes so much fucking sense!! I posted in another thread that he was the shooter but it seems like you said he's making a gunshot motion. Would make sense a lot people said it was ironic he mentioned trannies the BAM gets shot. Pol banned me for pointing that out that this guy might be the shooter. Cover up
Anonymous (ID: anxYsb5h) United States No.515402184 >>515402804 >>515404495
>>515387328
How the fuck did this shooter succeed but the Trump one didn’t?
Anonymous (ID: LnO7JyIw) United States No.515402287 >>515403808 >>515403855 >>515407431
>>515401584
You can see the plate peeking thru the shirt
Anonymous (ID: D8P3ytGO) United States No.515402382
>>515387328
>bullet comes from his side
>ends up straight in front of him
That literally make no sense
Anonymous (ID: anxYsb5h) United States No.515402440
>>515395233
>FREEDOM
Anonymous (ID: D8P3ytGO) United States No.515402702
>>515394183
It is too be to be a 5.56. My money is on 308
Anonymous (ID: Omeo4aBd) Czech Republic No.515402799 >>515403459
>>515402118
im not the anon who noticed that but i cant get it out of my head
im talking about this guy btw, in canse my ramblings are too incoherent
Anonymous (ID: Q48IMeYL) Brazil No.515402804 >>515403038
>>515402184
Kirk shooter was in front of him, no way to miraculously "turn away" like Trump did.
Anonymous (ID: cmJ9jrw9) United States No.515402825
>>515396710
There should be hundreds with all those audience people filming.
Anonymous (ID: Q7qya4kQ) United States No.515402882 >>515403184
>>515401875
Interesting that the question he was answering was about gun violence. Anyone know when this question was asked during the event? Was this in the beginning, perhaps the first question about gun violence?

The timing is not coincidental.
Anonymous (ID: QrI4MhKW) Chile No.515402976 >>515404592 >>515404926 >>515406996
>>515401584

I'm betting he actually got shot in the back of the head and the bullet ricocheted towards the neck
Anonymous (ID: h6IOR3m6) United States No.515403036
>>515395828
It ricochets off his bulletproof vest
Anonymous (ID: Omeo4aBd) Czech Republic No.515403038 >>515403688
>>515402804
i bet the shooter didnt compensate for bullet drop and ended up hitting his neck
not that it changes anything, just a thought
Anonymous (ID: rcJiShhR) United Kingdom No.515403184
>>515402882
That really does feel like a signal. Get Charlie sat back in his seat so the shot is lined up, make it ironic because of the topic. Very reddit lefty type of deed.
Anonymous (ID: 8AP5FadE) Australia No.515403204
>>515387769
depends where the camera was, retard
Anonymous (ID: ojjo+EUJ) New Zealand No.515403205 >>515405421
>>515401034
wrong roof
Anonymous (ID: 4wW6CYgB) United States No.515403429
>>515387120 (OP)
The bullet hit his bulletproof vest and ricocheted through his carotid. That's why it exits upward.
Anonymous (ID: W53LdSzC) United States No.515403459
>>515402799
No I said the same guy in another thread. Im the one who first brought it up. He looks like he is doing a gun motion. I thought he might have had a cellphone gun but the motion to the shooter makes too much sense. Definitely sounds like a high powered rifle. Maybe 5.56.
Anonymous (ID: 4RedzRmv) Australia No.515403472 >>515408399
>>515398018
>hits plate carrier
>deflects upwards
>goes through his neck and exits
F
Anonymous (ID: I1WglxNT) United States No.515403504
>>515398215
Most gun deaths are suicide retard. Unless you're saying it's a targeted attack against yourself?
Anonymous (ID: HZL5WX7q) United States No.515403610
>>515398480
That was his mike.
Anonymous (ID: 8AP5FadE) Australia No.515403621
haha rip iryna you are forgotten
the left wins again
Anonymous (ID: Q48IMeYL) Brazil No.515403688
>>515403038
Yeah, any direct hit from shoulder up with rifle rounds is guaranteed death. People were hopeful, but everyone knew was gone as soon as he hit the ground with probably half his blood already out. Brutal way to go.
Anonymous (ID: swymmJQC) United Kingdom No.515403703 >>515404853 >>515405421
Shooter seen before the shot on rooftop
Anonymous (ID: 8baURBxX) United States No.515403808 >>515404385 >>515410374
>>515402094
i'm more bewildered about the behavior than upset, but when has telling an agitated person to 'calm down' ever had that effect?
>>515402287
i kinda see what you mean, but i think that's more likely to be the current pattern of folds than an odd little quarter-plate that doesn't even cover all of your pecs
Anonymous (ID: 4/3sc1Nz) United States No.515403817
>>515398032
What was he going to do you peak retard
Anonymous (ID: XrXpxb8Z) United States No.515403835
>>515387120 (OP)
It was the jooz and the video was a deepfake and the Charlie was actually a clone crisis actor
Anonymous (ID: HZL5WX7q) United States No.515403842
>>515397552
It his mic
Anonymous (ID: aOCJgnek) Poland No.515403855 >>515410816
>>515402287
In parallel universe he is still alive after stunt:
>Not blood but paint going from the vial seen as bulge on his upper right part of torso and also seen a bit behind the shirt around middle of the neck on other photos
>Smiling brown shirt guy is just pulling small air canon from the shoulder
>Goy on the roof only to make noise from the distance
>Spiceed right after with one Ai sloppa to give zoom to the "hole" only wrong blood direction as the possible trace?
>Everyone happy and well and no racial tensions in the US
Imagination is one hell of a drug
Anonymous (ID: JBHdM+aJ) Sweden No.515403908
Thats not the bullet retard.
Anonymous (ID: swymmJQC) United Kingdom No.515403926 >>515404176 >>515405421 >>515406055 >>515406531 >>515407698 >>515408823
Shooter clearly seen running away on rooftop immediately after firing.

FBI claim to have captured him in last hour and will release info soon.
Anonymous (ID: RE3FIjp6) United States No.515403946
>>515397273
This has front passenger JFK VIBES
Anonymous (ID: vuwI5zr7) No.515404001 >>515407934
>>515397672
That is very very very suspect.
>Grabs hat. Youches side of mouth. Tenses shoulders.
>Cuz Charlie moves...nothing initially happens so he looks to crowd.
>Charlie sits bsck up and we watches Charlie and his reaction isnt that bad.

Very suspect. They need to questions this guy.
Anonymous (ID: apej5s9x) United States No.515404018
>>515387120 (OP)
It's a false flag faggots. He was martyred by the right to push their agenda even further. The entry wound came from down below.
Anonymous (ID: +hwySwrM) United States No.515404086 >>515407687
>>515395233
Plate fags are dumb, he's not wearing a plate carrier or a vest, I don't know what the outline on his shirt is (on his right), but you can see his gut and the outline of both of his mantits, plus a deviation below the mantits which wouldn't be possible with a vest. Its a larger caliber rifle, not a .223 and the round was tumbling before it hit his neck.
Anonymous (ID: Rnx4/sD7) United States No.515404093
>>515387120 (OP)
Retarded leaf doesnt know bullets cam change direction after shooting som.
Anonymous (ID: wTPl0t9j) Australia No.515404176
>>515403926
Nice
So they had to know it was happening
Anonymous (ID: 1M6KZzZq) Canada No.515404362
>>515387328
dem security was really useless
Anonymous (ID: Omeo4aBd) Czech Republic No.515404385
>>515403808
alright alright, i might be irrelevant and non-american but i honestly just wish you guys went 1488, like, who could stop you? chinks wouldnt care, you still have the nukes to uphold the status quo
Anonymous (ID: eJ7LUEPr) United Kingdom No.515404441
>>515398032
his job is to look tough and stop anybody rushing the stage

that guy is not payed to be an operator at all
he might be an ex operator but thats still not the function of his role

hes not even their for tactical operations although a ton of them think they are
the entire point is to look tough and stop immediate physical threats

if you are not withing 5 feet that guy has no job other than looking like he has one

those signals are to "watch people" nobody cares who he is watching the entire point is a deterrent
Anonymous (ID: KhQusaHL) United States No.515404488
>>515387328
Shot hit him in the chest, defected off whatever plate or bulletproof vest he was wearing under the shirt, and then tumbling bullet ended up catching him in the neck.
Anonymous (ID: swymmJQC) United Kingdom No.515404495
>>515402184
Trump turned by sheer chance at the exact moment the shot was fired. Otherwise a big chunk of the back of his head would have exploded.
Anonymous (ID: L9yMbepT) United States No.515404513
>>515398890
Yup this is correct. Got shot in the chest and bounced into his neck
Anonymous (ID: itOKUt2a) Ireland No.515404514 >>515407764
>>515387120 (OP)
bullets can bounce around once they hit bone
>in through throat at slightly elevated angle
>hits shoulder or collar bone
>goes ??? direction
if it was 5.56 / .223 that shit goes though people like a warm knife through warm butter
Anonymous (ID: RE3FIjp6) United States No.515404540 >>515405156
>>515387328
Watch him.
Anonymous (ID: 8baURBxX) United States No.515404592 >>515405410
>>515402976
that could definitely be possible. i didn't catch it before but i can see the '1' frame in the video now that i'm looking for it, and bones can apparently make things bounce a bit funny...
Anonymous (ID: tFKzZFlX) United States No.515404728 >>515405767 >>515406439
>>515392728
That questioner is a suspect with that timing.
Anonymous (ID: ETzXTV8w) United States No.515404853 >>515406841
>>515403703
Anonymous (ID: UL/1iKuv) Poland No.515404926 >>515405388
>>515402976
Same, he literally goes limp like the ones that get shot in the head, neck shot imo he would still conciously react to it
Anonymous (ID: euUhXKMF) New Zealand No.515404994
>>>/gif/29438072
Anonymous (ID: KnNtP/jZ) United States No.515405040
>>515387420
Theres fucking 20 different angles retard
Anonymous (ID: +bZmqWF9) Thailand No.515405062
>>515394836
Yes, and? He was 100% correct.
All this will lead to is the outlaw of being a troon. Trooning will be a federal crime.
Anonymous (ID: ayad/HJ4) United Kingdom No.515405075
>>515394836
Yes, deaths are unfortunate, but law abiding people shouldn't be disarmed. His assassination doesn't change this, and if he could speak from beyond the grave, his opinion on this will not have changed
Anonymous (ID: 4OQv80vH) United States No.515405102 >>515406008
>>515387328
My GOD.
Looks like he goes into fencing as well.
FUCK
Anonymous (ID: BH8SALFr) United States No.515405156 >>515405529
>>515404540
He's signaling. I brought that up in the bulletproof vest thread.
Anonymous (ID: xDGPRkRE) Germany No.515405178
>>515387328
The guard behind him made rather strange movements, as if to give a signal.
Those movements don't look like natural passive unconscious movements.
Anonymous (ID: iJ1uy/j3) No.515405319
>>515392728
What kind of fucked up timing is that
Anonymous (ID: RE3FIjp6) United States No.515405388
>>515404926
You can do that to someone w a judo chop to the jugular, let alone a bullet
Anonymous (ID: F9mBhbZE) United States No.515405390
>>515389910
I was seeing like a group of people and they put the gun man in center and he shoots them through the crowd like it's two crowds one small circle of the black/red hand and then the crowd of on lookers. I'm using the hand as an idea to connect political extremism not saying this is the same but i think it's coming from the crowd and it's like people there.
Anonymous (ID: swymmJQC) United Kingdom No.515405410 >>515405981 >>515407434
>>515404592
Saw a squaddie in Afghan die from that, bullet ricocheted off the helmet of my mate next to me and hit the lad to his right. Went through his left ear and bounced downwards coming out of the upper part of his neck.

I escaped death by sheer luck in that incident. If it went right, it'd have been me slumped at age 19.
Anonymous (ID: k/FcsTev) Canada No.515405418 >>515406662
>>515398643
>https://x.com/bruce_barrett/status/1965888346804412807
What did they say, anons? Post is gone.
Anonymous (ID: LnO7JyIw) United States No.515405421
>>515403205
See >>515403703 and >>515403926
It's the right roof
Anonymous (ID: GsGUB9yu) United States No.515405506
>>515400950
This is a good theory, but the decorticate posturing necessitates that the bullet or fragment struck either his spinal cord, brainstem, or spalled into his brain.
Anonymous (ID: vJk+pXYK) United States No.515405511
>>515387120 (OP)
worthless security guys
Anonymous (ID: RE3FIjp6) United States No.515405529 >>515405758
>>515405156
I'm glad we are like this
Anonymous (ID: fBJ2REaz) No.515405530 >>515405707
>>515395233
Looks like he's killed by whatever device he's wearing.
Anonymous (ID: SgwkZFkF) No.515405597 >>515406034 >>515408809
>>515394392
why does his phone have have a white dot on it as you here the gunshot? if you pause slowly and watch each frame you can see it only appears then
Anonymous (ID: KhQusaHL) United States No.515405707
>>515405530
If he wasn't wearing the protection the shot would have just killed him anyway
Anonymous (ID: /ix9WKQt) United States No.515405736
>>515388238
Where would the FBI's budget and purpose come from without nurturing the problems they're tasked with solving?
Anonymous (ID: BH8SALFr) United States No.515405758
>>515405529
Hey man. If it wasn't for us. Alot more people would have been vaccinated.
Anonymous (ID: swymmJQC) United Kingdom No.515405767
>>515404728
Very relevant cap.
Anonymous (ID: wNr8U/tr) United Kingdom No.515405849
>>515395374
>prove me wron-ACK!
Anonymous (ID: BhI9+/cD) United States No.515405865
>>515387328
Is his security detail going to get another contract again after this?
Anonymous (ID: GsGUB9yu) United States No.515405890 >>515406714
>>515401137
This exactly. If it were just Charlie's arteries that were severed, he may have been awake for a few seconds, possibly enough to grab his neck or have some sort of conscious defensive reaction. The Demo Ranch guy talks about sticking his thumb into his artery on the way to the hospital which likely saved his life.
Anonymous (ID: mwYVO/+Q) Japan No.515405978
>>515396482
So leftists know how to make a good show.
Anonymous (ID: tuGmqNob) United Kingdom No.515405981 >>515409180
>>515405410
F for homie. what reg were u? I was MERT, was pretty rough picking you poor fucks up after shit like that
Anonymous (ID: wJ8g3Kr9) United States No.515406000 >>515409498 >>515409745
>>515387328
The old man in glasses
Almost looks like he’s anticipating it.
Knows exactly what happened after he is flinching. Spins a 360 and goes right to Charlie. Doesn’t draw a weapon or try to protect the person he was hired to protect
Anonymous (ID: itOKUt2a) Ireland No.515406008 >>515409790
>>515405102
morbid as fuck, but he literally didnt feel a thing. he was out before he could even think β€œwtf was that”
Anonymous (ID: WyOJBPor) Mexico No.515406028
Rest in Peace sweet prince.
How many angles do we have? This is our generations JFK.
Anonymous (ID: SgwkZFkF) No.515406034
>>515405597
another photo where the light moves

only time the light is scene is during the shot
Anonymous (ID: k/FcsTev) Canada No.515406055 >>515409180
>>515403926
How would there not be a drone in the air to counter this at this sort of event, anons? I can see shooting from the back of a room but the roof? Same as with the trump assassination attempt.
Anonymous (ID: xDGPRkRE) Germany No.515406122 >>515410880
>>515396482
The guard behind him was in on it.
He makes some really strange unnatural movements behind him, just right before the shot.
Anonymous (ID: tFKzZFlX) United States No.515406152
>>515397672
Security doing basebally hand signals, not necessarily suss, but ought to be questioned and documentedβ€” perhaps they spotted the roof guy and were signing about it.
Anonymous (ID: 4vIzhZPD) United States No.515406167 >>515407434 >>515407579 >>515407803
bullet came from rooftop in front of Charlie
entered his neck, and lodged in his spine
Anonymous (ID: 41CwddC0) United States No.515406259
>>515394392
No chance. Law enforcement has probably already confiscated it.
Anonymous (ID: JlCyFASQ) United States No.515406304
>>515397591
when you enter the state lines, it's like a video game - the guns just cease existing
Anonymous (ID: pemUX8h1) United States No.515406322
>>515387328
Could that be a chunk of spine
Anonymous (ID: 41CwddC0) United States No.515406439 >>515410366
>>515404728
The shot was too good as well. No way in hell that person wasn’t trained by some military.
Anonymous (ID: rAbNxx9g) United States No.515406513
>>515389910
man that pic would make such a great TKD-shirt
Anonymous (ID: 6s0OnmrS) United States No.515406516
>>515387328
god damn
>that neck hang
>the t-rex arms
he was gone before he left the event
Anonymous (ID: pIsLaw4l) United States No.515406531
>>515403926
Ah so the FBI is framing a convenient narrative then.
Anonymous (ID: gjFwTb5+) Canada No.515406551
>>515387120 (OP)
yes lets all analyze the event to death and do nothing

good goy
Anonymous (ID: 0FQHKj9I) United States No.515406557
>>515387328
this is going to be the start of something big
Anonymous (ID: adI5bHJr) Thailand No.515406593
>>515395233
Shot entered near the neckline of his shirt, bullet ricocheted up off a bone and exited the neck. Shot came from his front.
Anonymous (ID: GsGUB9yu) United States No.515406605 >>515409704
>>515401010
Why are you blatantly lying, or are you just stupid? Watch the fucking video. There is no hard impact or pushback because the round passes either over/off the vest or straight into his neck. He simply jumps from the impact, but there is no hard backwards force you are talking about.
Anonymous (ID: pyMtYVg/) Canada No.515406662 >>515407098
>>515405418
It said that the bullet bounced off the vest and hit his neck and killed him.
Kinda implying the whole idea was only to hit the vest and create a theater of an assassination but it turned to be real
Anonymous (ID: 2MIPRrcb) United States No.515406674
>>515387120 (OP)
Too bad the bullet hit his neck not his head.
Anonymous (ID: Omeo4aBd) Czech Republic No.515406714
>>515405890
Demo got his juggular nicked, not obliterated like Nick... that shit was gnarly
Anonymous (ID: rAbNxx9g) United States No.515406826
>>515395233
when that 666th covid booster hits
Anonymous (ID: 25VazYSP) Brazil No.515406828 >>515409385
Unlike in the George Floyd case, this case will not have big international repercussion. Because the Great Media is made of shitskins and they hate the White Race.

Don't let her death be in vain, white brothers.

- - - Death of Iryna Zarutska - - --
Anonymous (ID: BYjhgFRz) Canada No.515406841
>>515404853
Oh yeah he's running on the roof, you can see it.
Anonymous (ID: wJ8g3Kr9) United States No.515406939
>>515397672
Nice catch
Anonymous (ID: nWslM2BF) United States No.515406980
>>515394005
shut the fuck up. Stop muddying the waters with your bullshit, you fucking left shill.
Anonymous (ID: 7Et2ECK2) United Kingdom No.515406996 >>515408240 >>515408920
>>515402976
Yeah, could it be that the hole in the neck is actually the exit wound?
Anonymous (ID: k/FcsTev) Canada No.515407098 >>515409290
>>515406662
Interesting. Tyvm, anon.
Anonymous (ID: WeXHXSiU) United States No.515407194 >>515410180 >>515410872
>>515395374
At 8 seconds in the sunglasses guy touches his sleeve, guy by the fence

>>515387328
Guy behind Charlie, also wearing sunglasses, touches his sleeve in this video too
Anonymous (ID: GA51IgsT) United States No.515407431 >>515410708
>>515402287
wait so this could be spalling hitting him?
Anonymous (ID: 8baURBxX) United States No.515407434
>>515405410
sorry about your squadmate anon
from all the videos i've seen i'd have thought he got shot from the side or back and we saw an exit wound, but if this >>515406167 is true then i don't really know
and i guess the specific don't matter too much unless you're running security detail
Anonymous (ID: 8a7dP9YX) United States No.515407479
>>515387120 (OP)
Looks like a professional hit. The assassin could be ex-military sniper who trooned and got kicked out of the service.
Anonymous (ID: eyjVMQl4) Netherlands No.515407579
>>515406167
Nt, charlie didnβ€˜t wear any ear rings
Anonymous (ID: 7Et2ECK2) United Kingdom No.515407687
>>515404086
it really does look like the exact angle of a plate, but i think it's actually just a clip-on microphone that is crimping his t-shirt and it looks weirdly similar.
Anonymous (ID: GGD47TYo) France No.515407698
>>515403926
has american ever stoped to think "you have right to have gun" was decided when we didn't have machine gun and 1000m sniper ? why are sniper even avaible ?
Anonymous (ID: rAbNxx9g) United States No.515407726
>>515397672
KEK
Somebody wrote a song about
>https://www.youtube.com/watch?v=MjiMqeD-lrs

GAS THE JEWS
Anonymous (ID: GsGUB9yu) United States No.515407764
>>515404514
Former military and I have seen a 5.56 round fired from ground-level enter a guys chest at the top of his sternum, and the exit wound was below his right ribcage in his back. The round tumbled down through his torso and tore every artery and vein in between his neck and heart. The surgeons said that if he were in the operating room when it happened, they couldn't have saved him.

The shot went through a wall before hitting him, too.
Anonymous (ID: H57p4ARX) Canada No.515407779 >>515408262
>>515401662
Correct.

Someone pulled a handgun and shot from the hip at very close range.
Anonymous (ID: SjSnkSsw) United States No.515407803
>>515406167
What is this from?
Anonymous (ID: KsfFv1fN) United States No.515407934
>>515404001
Watch guy in the blacks arms. Hes doing baseball signs almost
Anonymous (ID: hdBa3AKV) United States No.515407967 >>515408339
Is anyone else IP range blocked from posting threads?
Anonymous (ID: GGD47TYo) France No.515408195 >>515409005
>>515395374
what the hell was this fly catching hand movement out of nowhere 1second before the shot ?
Anonymous (ID: KnNtP/jZ) United States No.515408211 >>515409801
>>515397672
The guy in white behind fence whose face is obscured by the tent looks like he pulls something up with 2 hands and cocks and it has kickback
Anonymous (ID: H57p4ARX) Canada No.515408240 >>515410417
>>515406996
No. There would be spray forwards.
Anonymous (ID: bcVFe2R3) United States No.515408262 >>515408610
>>515407779
You can tell from the videos it was a rifle.
Anonymous (ID: Ezh5ZCM3) United States No.515408269
It definitely came from crowd level, the round pulls his shirt into his neck and he moves directly backwards from the force transition. In addition, his body crinkled in reaction to the round as if it came from head on but slightly from his right.
Anonymous (ID: Qb7/pwnq) Czech Republic No.515408339
>>515407967
i keep getting repeatedly hit with a captcha if i try posting more than once per 30 mins
Anonymous (ID: lbRVLApc) Spain No.515408399 >>515408723
>>515403472
this is a frame after the bullet hits the shirt/vest, if this is confirmed this fag had the worst luck
Anonymous (ID: atfnPzwq) United States No.515408514 >>515410333 >>515410883
>>515401196
actually, i'm starting to think it came from behind and above, and went out his front. (yellow line)

>he was facing crowd

>bullet behind him before it hits
Anonymous (ID: eyjVMQl4) Netherlands No.515408534 >>515411377
Iβ€˜ve seen lots of posts about a guy being on the roof, is that already debunked?
Anonymous (ID: H57p4ARX) Canada No.515408610 >>515409340
>>515408262
How? The hit and report are too close together to be from any kind of range. The wound could be from any common handgun caliber. There is nothing that points to a rifle.
Anonymous (ID: Y9KBC2co) No.515408660
>>515397552
>>515387120 (OP)
if there's two frames the bullet is visible in couldn't we use the time difference and estimate the distance to get the velocity of the bullet to figure out what type of bullet and gun could have been used?
Anonymous (ID: atfnPzwq) United States No.515408723
>>515408399
wrong, that's exiting the front (enter from behind) and hitting his shirt.
Anonymous (ID: zCw0MFrm) United States No.515408809 >>515411186
>>515400298
That does appear to be what happened. You can see the scorchmark on the shirt and jumps up towards his neck really clearly in this video
>>515395233
He makes this "ok, shoot me face" (picrel) then we know the rest.
This is looking like 1 of two things.
1. A legit attempt to shoot him and plate carrier worked but he had shit luck
2. An attempted false flag meant to up his street cred, but things went wrong.
Either way it's seems very apparent he had a plate on. >>515405597
Anonymous (ID: lbRVLApc) Spain No.515408823 >>515410063
>>515403926
the shooter in this video is shooting kirk from an angle incompatible with his wound, what is going on here
Anonymous (ID: QrI4MhKW) Chile No.515408920
>>515406996
Pretty much, in addition, in the closest recording of the shot, the period between the gun being fired and the bullet hitting is almost instantaneous, the guy must've been at the back in the parking lot
Anonymous (ID: GGD47TYo) France No.515409005
>>515397672
>>515408195
hmm, it was the security guy, that then barely reacted and was not moving a single muscle during it and then moved mechanically.
there is so much weird shit going on but this a sure one
Anonymous (ID: 1nRaavDI) Israel No.515409025
>>515387120 (OP)
i don't want to be that guy but you can't tell trajectory from a single frame
Anonymous (ID: vZf2+z8R) Poland No.515409036 >>515409294
can one of you just find the location of the rooftop guy from video and kirk booth on gmaps so we can run ballistics calculation desu.

the video from inside shows the shooter on roof running suggesting that he was shot from the front up.
Anonymous (ID: atfnPzwq) United States No.515409096
you're a fudd fag. nothing you say is correct.
Anonymous (ID: QwLQaatA) No.515409134 >>515409282
>>515387120 (OP)

From this-
https://i.4cdn.org/pol/1757544272720173.mp4
Anonymous (ID: 3G/I7hUm) United States No.515409171
>>515394005
200 yards isnt long enough to decern the super sonic bullet crack and the report of the rifle, its going to sound like a single report, especially on a shitty phone mic.
Anonymous (ID: swymmJQC) United Kingdom No.515409180 >>515411057
>>515405981
2nd Bn Mercian. That incident happened during Panthers Claw.
I think we took 10 or 11 KIA and 40 WIA in a 24 hour period in that. Pretty significant casualties for a low level insurgency war.

>>515406055
I keep saying this, there is no excuse for there not to be some commercially available drones up for surveillance of high points. They cost about $400 for a basic model Mavic drone. Doesn't need anything fancy to keep your eyes up there. Just one or two operators to fly a solo or pair and monitor the feeds. They can literally sit in a van and do it there to make it less obvious.

It's actually shocking its not standard procedure after what happened to Trump last year.
Anonymous (ID: 7AA9vfDg) United Kingdom No.515409190
Was there an exit wound?
I know trajectory can be altered by dense material strikes and/or tumble but would analysis of downrange damage not reveal the angle of attack if the bullet exited?
Anonymous (ID: atfnPzwq) United States No.515409282
>>515409134
no, that's a ruger air/pellet rifle with breaking barrel
Anonymous (ID: pyMtYVg/) Canada No.515409290 >>515411261
>>515407098
Anonymous (ID: 4V2WlZTA) Finland No.515409294
>>515409036
Other threads have it, it was around 125m away on top of a roof
Anonymous (ID: bcVFe2R3) United States No.515409340 >>515410401
>>515408610
The sound, genius.
Anonymous (ID: FteTdkql) No.515409356 >>515409589 >>515410581
Anonymous (ID: 9AfK/1gl) United States No.515409385 >>515409901
>>515406828
Check Charlie Kirks final tweet bro.
Anonymous (ID: GsGUB9yu) United States No.515409498
>>515406000
This. Absolutely suspicious as fuck. He doesn't flinch, and he literally moves before he even looks to see what the fuck happened. I am a combat veteran and I would say that there is no amount of "training" that would cause this reaction. Every person on Earth is at least going to glance quickly over to Charlie to see wtf is going on, even if very rapidly before moving. There is no OODA loop here, just automatic, rehearsed movement.
Anonymous (ID: 3G/I7hUm) United States No.515409507
>>515397552
The bullet fragmented, there is no decernable single exit wound.
Anonymous (ID: ph/I2w20) United States No.515409589 >>515409780
>>515409356
ai retard faggot kys
Anonymous (ID: 26h9qA7a) Canada No.515409617 >>515412122
>>515399141
Except he got shot on the left side of his face.
Anonymous (ID: Q7qya4kQ) No.515409704
>>515406605
He definitely does not jump as a reaction. Either way it doesn’t matter, the observation was about the mass of the bullet. Even your dumb dick eyes sees the amount of force behind the initial impact to his chest. So much so, you felt that your autism rage caused you to write an utterly worthless response.

I stand by my point this was bolt action suppressed rifle. Originally I said 300 Win, but now I’m thinking 6.5 creedmoor because it’s much gayer.
Anonymous (ID: atfnPzwq) United States No.515409745
>>515406000
yeah, because that's his fucking security detail. he's on edge watching the crowd. he know what a gunshot sounds like. he's springing into action, thinking/hoping/assuming charlie didn't get shot, but he did
Anonymous (ID: FteTdkql) No.515409780
>>515409589
AI enhanced but its real
Anonymous (ID: 4OQv80vH) United States No.515409790
>>515406008
Absolutely.
And to think. This was the goal for Trump as well. To have his head shot off for all to see at different angles.
Picrel is my solution to this mess. We cant kill them all but we CAN do picrel. Organize and make it happen on a national level.
Anonymous (ID: KnNtP/jZ) United States No.515409801 >>515412126
>>515408211
Bump, curious if other anons see the same thing or im schizo
Anonymous (ID: GGD47TYo) France No.515409901
>>515409385
>it was politic
Yes, but mostly it was a nigger women (nice combo) helping her tribe by geting only innocent victim case she alway have to release, what a lucky girl.
Anonymous (ID: qmRFZkQ3) Hungary No.515409952
>>515387328
beautiful.
total golem death.
Anonymous (ID: FteTdkql) No.515409962
Anonymous (ID: RS4QBEUz) United States No.515409973 >>515410185 >>515410197 >>515410747
>>515395233
FAKE VIDEO

GLOWIE SHIT

LOOK AT THE RING CHANGE FINGERS
Anonymous (ID: QwLQaatA) No.515410012
>>515387120 (OP)

His shirt flies-up from bullet shock-wave, the effect indicates level or below.
Anonymous (ID: lbRVLApc) Spain No.515410063 >>515410259
>>515408823
there is more than one shooter
Anonymous (ID: WeXHXSiU) United States No.515410180
>>515397672
good eye, also look at this: >>515407194
Anonymous (ID: 9AfK/1gl) United States No.515410185
>>515409973
Stick to your thread schizo
Anonymous (ID: D8P3ytGO) United States No.515410197
>>515409973
Literally this! We must spread the truth and remind the anons about tapping the sign
Anonymous (ID: mydRpcGa) United States No.515410198
>>515387769
can't tell if turrible bait or just a eurofag
Anonymous (ID: +/vsEpTv) United States No.515410207 >>515410777
>>515395233
So what's that ring doing?
Anonymous (ID: FteTdkql) No.515410259
>>515410063
1 shooter
1 shot
1 kill
Anonymous (ID: pjr6aIEC) United Kingdom No.515410333 >>515410883 >>515410951
>>515408514
My money is on this guy. Even looks like he's aiming something down at charlie just after the shot was fired.
Anonymous (ID: ddq2RBMV) United States No.515410335 >>515412037 >>515412376
>>515392728

Brown shirt looks like he squeezes down on a palm pistol at the exact shot time. Anybody want to dig on him? Absolutely the kind of thing that needs digging. He also kept smiling after the shot landed as blood poured.
Anonymous (ID: zCw0MFrm) United States No.515410366 >>515411308
>>515406439
That's retarded. Even their furthest estimates put it at 200 yds.
Assuming he was aiming center mass on Charlie, he hit at least 2 high 4 right based on the shirt.
At 200 yds you should be able to hit a six inch plate.
That shooter has practiced, but isn't experienced. A high right shoot pattern indicates you are anticipating recoil and the shooter flinched.
Considering the distance they didn't flinch too bad but the definitely are an amateur.
Likely not even deer hunter level experience.
They would have missed the 6" plate at 200 yds based on any reasonable aiming point regardless of theory you adhere to ATM.
Nobody aims for either the neck or the upper meaty chest area when shooting and any pro good enough to consider shooting the neck an option under those conditions would just pop the head instead.
This doesn't pass the shit test.
Something went wrong.
Anonymous (ID: wrYpuwe0) United States No.515410372
>>515387328
wtf why are these video clips so short?
Anonymous (ID: LnO7JyIw) United States No.515410374
>>515403808
Clearly whatever it was it didn't help.
Anonymous (ID: H57p4ARX) Canada No.515410401
>>515409340
It sounds far too quiet to be a rifle unless it was a long ways off, which is disproven by the lack of delay between impact and report.
Anonymous (ID: 7Et2ECK2) United Kingdom No.515410417 >>515411272
>>515408240
how do you explain the two strings of what looks like blood coming from the back of the head in the 1st video? here >>515395233 Go through frame by frame you can see them clear as day on 2 separate frames before the hole in the neck appears
Anonymous (ID: qEqzuK/O) United States No.515410455 >>515411566
>>515387120 (OP)
/k/ says it hit his (probably) steel bulletproof vest and ricocheted up into his throat. They're faggots but they are gear queers of the highest order and know their guns.
Anonymous (ID: LbiFRSB4) United States No.515410520
>>515387120 (OP)
that could be a bug or anything
Anonymous (ID: lbRVLApc) Spain No.515410581 >>515410970
>>515409356
it’s AI lmao generated
Anonymous (ID: mydRpcGa) United States No.515410635
>>515396035
You can't tell shit from a phone microphone - especially the compressed dogshit on a video shared to social media
Anonymous (ID: IqgsE/8s) United States No.515410654
They turned a man into a martyr
Anonymous (ID: LnO7JyIw) United States No.515410708
>>515407431
Possibly, but to me it looks more like a clear neck shot. Likely the shooter was aiming for the head and didn't account for bullet drop since he was shooting at a high position
Anonymous (ID: aOCJgnek) Poland No.515410733
>>515387328
FROM WHERE THE BLOOD FLOWS?
Tell me because I think that I am stuck with wrong biased idea...
Anonymous (ID: KnNtP/jZ) United States No.515410747
>>515409973
But how does that explain all the different angles we get from multiple people in the crowd
Anonymous (ID: GGD47TYo) France No.515410777
>>515410207
Falling from the shock that make it slide because he had his hand crossed
Anonymous (ID: m7T6EdYP) United States No.515410809 >>515411461
>>515395374
>wrong status?
proven
Anonymous (ID: LnO7JyIw) United States No.515410816
>>515403855
What timeline are we in now anon
Anonymous (ID: GIUCNryR) United States No.515410841
>>515394183
It definitely hit his cervical vertebrae. The way his hands immediately clenched up is indicative of a catastrophic spinal cord injury.
Anonymous (ID: 6dh2aHii) United States No.515410872
>>515407194
>pic
topkek. accurate since i avoid this shithole outside of happenings anymore
Anonymous (ID: mydRpcGa) United States No.515410880
>>515406122
Or he possibly saw the shooter but hadn't processed it as a legit threat yet. It's not like this guy is going to die for Charlie
Anonymous (ID: 4Wxp3227) United States No.515410883
>>515408514
>>515410333

This is it. Looks like the round enters from the base of his neck and he rocks forward and slightly down from the initial shot then his body flinches back up.
Anonymous (ID: NdPFVKlv) Ireland No.515410940
How are mutts so clueless about where the shot came from? I thought these mongrels were all gun experts. Where are these gun experts now??
Anonymous (ID: atfnPzwq) United States No.515410951 >>515412402
>>515410333
naw, the tent is clearly in his line of sight, and the bullet/object we see here in this thread is more to charlie's 4 o clock
Anonymous (ID: KnNtP/jZ) United States No.515410970
>>515410581
Ive seen the actual video of this and i could read the buildings just fine, might just be compression
Anonymous (ID: k/FcsTev) Canada No.515411057
>>515409180
It's insane, really. Certainly feeds false flag narratives but could just be incompetence.
Anonymous (ID: 3G/I7hUm) United States No.515411186
>>515408809
Kirk doesnt look like hes wearing plates, but if he were bullets wouldnt richochet off of a plate, whether steel or ceramic in a clean fashion the bullet would spall into small fragments. Hes got a clean entry wound in his neck.
Anonymous (ID: C7s1CcZq) United States No.515411255 >>515411531 >>515411633
Look at the back of his head. Any blood splatter or gun guys know if that is stereotypical pattern for an entry or exit?

Also look at the angle from that either entry or exit to his neck wound.
Anonymous (ID: k/FcsTev) Canada No.515411261 >>515411908
>>515409290
No permission was given to post my picture, anon.

And it is Singh Hortons.
Anonymous (ID: iM4tytUw) Canada No.515411272 >>515411633
>>515410417
Not blood it's string from his mic or ear piece or something flying off from the movement of his shirt.
Anonymous (ID: GsGUB9yu) United States No.515411308 >>515411861
>>515410366
All that reads correct, but it seems like the impact and report happen at almost the same goddamned time. I feel like even at 150-200 yards, you would have at least a few milliseconds of delay. Am I wrong? Is that just the recording bullshit?
Anonymous (ID: lbRVLApc) Spain No.515411361
>>515395374
damn he dies instantly
Anonymous (ID: BYjhgFRz) Canada No.515411377
>>515408534
there is a video on here after the shot with a guy running on roof taken from indoors.

Highlight my ID, I commented on it
Anonymous (ID: lbRVLApc) Spain No.515411461 >>515411792
>>515410809
proven right
Anonymous (ID: atfnPzwq) United States No.515411531 >>515412006
>>515411255
FRONT OF HIS NECK IS EXIT WOUND!!!!
Anonymous (ID: GsGUB9yu) United States No.515411566
>>515410455
Those fucking faggots prove their worthlessness yet again as you can obviously, plainly see there is no vest, especially a fucking plate, which you cannot hide. You can see the entire outline of Charlie's torso and pecs from multiple angles. /k/ is dead.
Anonymous (ID: C7s1CcZq) United States No.515411633
>>515411255
>>515411272

Nevermind this guy is right looks like his earpiece
Anonymous (ID: m7T6EdYP) United States No.515411792
>>515411461
you can't be right if you end up shot in the fucking neck and dead. i'm sorry to say but might makes right. your logic vs the other guy's 5.56, see who wins that one
Anonymous (ID: SfbKmIKL) United States No.515411795
>>515387495
That’s the entry wound because it was tumbling when it entered his neck.
Anonymous (ID: 3G/I7hUm) United States No.515411861
>>515411308
200 yards is too close to determine a difference between the report of the rifle and the supersonic crack of the bullet.
Anonymous (ID: pyMtYVg/) Canada No.515411908
>>515411261
>singh horton
kek
Anonymous (ID: sqQJ8zhw) Slovenia No.515411956
>>515395233
He closed his eyes to blink and I think he never opened them again...
Anonymous (ID: KnNtP/jZ) United States No.515412006
>>515411531
Obviously, i thought everyone knew that. Either hes shot from behind or from his right
Anonymous (ID: WYKYsAvO) No.515412009
>>515387120 (OP)
He was shot with 22 lr the marksman choice.
Anonymous (ID: BCiWSad0) Australia No.515412027 >>515412140 >>515412322 >>515412345 >>515412434
analyze this
Anonymous (ID: D1Kl9q7s) United States No.515412037
>>515410335
I think it's him too, looks like he passes it off to another guy when he runs up to Kirk after
Anonymous (ID: GnLuxp+P) United States No.515412122
>>515409617
Why the fuck is /pol/ so fucking retarded now. The blood spout is the exit wound
Anonymous (ID: WeXHXSiU) United States No.515412126 >>515412363
>>515409801
it looks like he shooting an invisible gun?
Anonymous (ID: GsGUB9yu) United States No.515412140
>>515412027
fuck out of here schizo retard it's an obvious artifact from shitty video compression--the adults are talking
Anonymous (ID: +37D/7Ba) United States No.515412322
>>515412027
We live in the matrix and homie is still dead. Nothing to see here.
Anonymous (ID: pyMtYVg/) Canada No.515412345 >>515412452
>>515412027
I did, thread before, the ring broke you can see it falling off if you cont the vid
Anonymous (ID: KnNtP/jZ) United States No.515412363
>>515412126
Yeah i cant see anything he's holding but he does make the motion likes he shooting something and kicks back
Anonymous (ID: atfnPzwq) United States No.515412369 >>515412472
https://www.google.com/maps/place/Utah+Valley+University/@40.2776444,-111.7139889,3a,61.4y,181.4h,94.53t/data=!3m8!1e1!3m6!1sCIHM0ogKEICAgIDaocGbXg!2e10!3e11!6shttps:%2F%2Flh3.googleusercontent.com%2Fgpms-cs-s%2FAB8u6HZ6n5oz59spZZ62tIKdJXw2_x6en4NbVFNCZns4q9bjn4jKqU8pCcwASzOkvM9y_-oelq9t9UqAMCCGnlLTfUyEjLJTj18RnQuJ4l3NTHPHXoSjYq3eLrL0ptVGb5A5pBQCbcM%3Dw900-h600-k-no-pi-4.5282129373245255-ya160.3980534486866-ro0-fo100!7i8000!8i4000!4m6!3m5!1s0x874d9b1eeeb9f5c5:0x63523d8413e98aa1!8m2!3d40.2787626!4d-111.7153739!16zL20vMDNkem5f?entry=ttu&g_ep=EgoyMDI1MDkwNy4wIKXMDSoASAFQAw%3D%3D
Anonymous (ID: H57p4ARX) Canada No.515412376
>>515410335
He hops the fence, assumption he is a security guard. His reaction and the timing are quite suspicious.
Anonymous (ID: pjr6aIEC) United Kingdom No.515412402 >>515412680
>>515410951
Wouldn't be that difficult to line it up to shoot charlie through the tent without a clear LOS. Charlie was just sitting down, not moving much at all. At such close range, at a stationary target protected by nothing but a tent, the shooter could have shot charlie with plenty of confidence despite the tent breaking direct line of sight.
Anonymous (ID: iM4tytUw) Canada No.515412434
>>515412027
Ring cracked. It was sitting very closed or even on top of his knuckle when he tensed. It then dangled off his ring finger over his pinkie finger before falling off entirely shortly after he dropped the mic .
Anonymous (ID: pyMtYVg/) Canada No.515412452
>>515412345
Anonymous (ID: atfnPzwq) United States No.515412472
>>515412369
shot came from above and behind to his 4 o clock
Anonymous (ID: hmoVS+QD) No.515412551
Neue Posts sehen
Konversation
FBI Director Kash Patel

@FBIDirectorKash
The subject in custody has been released after an interrogation by law enforcement. Our investigation continues and we will continue to release information in interest of transparency
Anonymous (ID: WYKYsAvO) No.515412573
>>515389910
Not from bellow, but from the side. Fro where this guy was filming
>>515387328
Anonymous (ID: atfnPzwq) United States No.515412680
>>515412402
he has los at an angle that looks like it could cleanly clear the right roof of the tent. look at the "streetview" 360 i just posted.